Навигация по категориям

Публикатор

Нацпроект «Здравоохранение»: возросшие возможности РСЦ Захарьина обеспечивают максимальную доступность ВМП при острых состояниях

Материал опубликован: 03 мая 2023, 17:52

Обновлён: 03 мая 2023, 17:53

Просмотров: 1922

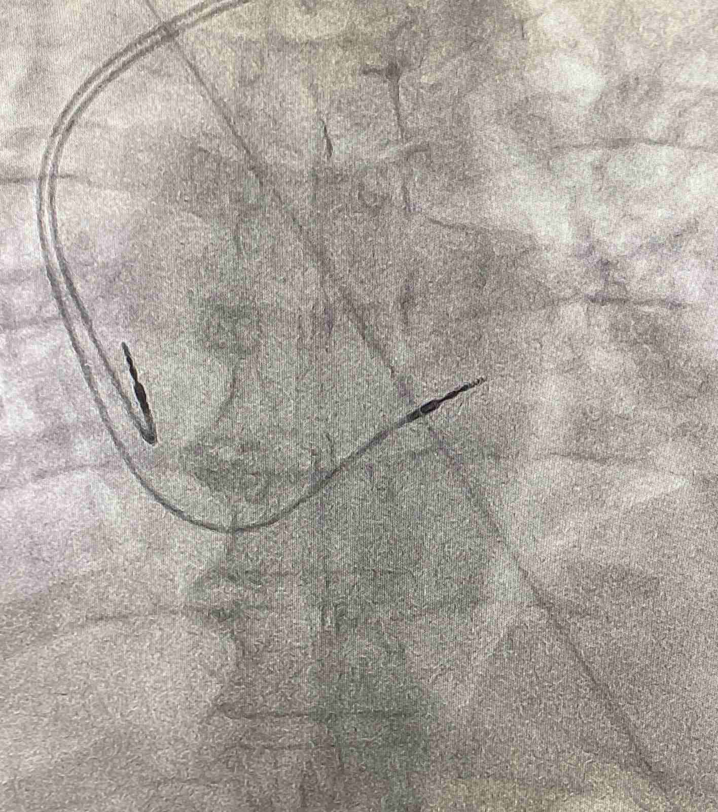
На базе регионально-сосудистого центра Клинической больницы № 6 имени Г. А. Захарьина, который является участником реализации мероприятий федерального проекта «Борьба с сердечно-сосудистыми заболеваниями» национального проекта «Здравоохранение» за апрель 2023 года было имплантировано 9 электрокардиостимуляторов пациентам с брадиаритмиями и синкопальными состояниями.
 
«Все стимуляторы, имплантируемые в нашем лечебном учреждении, являются частотноадаптивными, т.е. увеличивают частоту сердечных сокращений в зависимости от интенсивности физической нагрузки и используют технологию MRI sure scan, которая разработана для безопасного использования МРТ при необходимости», - поясняет заведующий РСЦ Дмитрий Максимов.
 
После установки кардиостимулятора больной может вести привычный образ жизни. Большинство приборов, оборудования и устройств, окружающих нас дома или на рабочем месте, не влияет на работу кардиостимулятора. Современные кардиостимуляторы достаточно хорошо защищены от внешних магнитных, электрических и электромагнитных воздействий, встречающихся в повседневной жизни.
 
Пациенты с кардиостимуляторами могут заниматься любыми видами спорта, если нет ограничений по состоянию здоровья.
По словам специалистов, в любом случае, во время занятий физическими упражнениями необходимо ориентироваться на собственное самочувствие, и прекращать занятия сразу же, как возникнут тревожные симптомы или усталость. Имплантируемый кардиостимулятор, как правило, не мешает обычной трудовой деятельности пациента, и не ограничивает его в передвижении.
 
Средства контроля в магазинах и аэропортах («рамки») испортить стимулятор не могут. Необходимо будет предъявить копию выписки на контрольно-пропускных пунктах в аэропортах, вокзалах, чтобы при необходимости выполнили ручной досмотр.
 
«Первая проверка проводится через 1,5-3 месяца после операции. За это время формируется хронический порог стимуляции, то есть становится возможной окончательная регулировка энергетических параметров стимуляции и можно проводить коррекцию параметров частотной адаптации. В течение первого года желательно провести проверки через 12 месяцев после операции. Это позволит убедиться в правильности подбора параметров стимуляции и лечебных функций», - отмечает Дмитрий Борисович.
 
Напомним, региональный сосудистый центр клинической больницы № 6 имени Г.А. Захарьина – высокотехнологичная медицинская площадка, оснащенная передовым медицинским оборудованием и укомплектованная высококвалифицированными врачебными кадрами.
 
Совершенствование оказания специализированной, в том числе высокотехнологичной медицинской помощи, пациентам с сердечно-сосудистыми заболеваниями с целью сохранения и продления жизни пациентов – главная задача РСЦ.
 
Вывести на новый, более качественный уровень, лечение пациентов с сосудистыми катастрофами и увеличить количество тех, кто после болезни вернулся к прежней жизни, помогает национальный проект «Здравоохранение».